
醫生推著張大娘奔向手術室

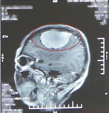
張大娘手術前頭顱CT顯示,腦子裡發現拳頭大的腫瘤

術後,張大娘的右胳膊也能抬高了,恢復得很好。
三門峽陝州區75歲的張大娘頭痛病又犯了,越來越重。為了省錢,為了不給兒女添麻煩,張大娘忍了半年多。這一次,她實在是挺不住了。
來到三門峽市中心醫院。一檢查,情況糟糕。
在她大腦硬膜與腦組織間有一個腫瘤,直徑7厘米,足有成人拳頭大!需要趕緊切除!
心焦的張大娘『沒想到』,接下來發生的事情,讓她感動得說不出話來。
當得知張大娘因為沒錢治療,纔將病情一拖再拖後,三門峽市中心醫院的醫生決定為她節省治療費用,但這也增加了手術的難度……
責任編輯:楊雪
圖片新聞
熱點新聞
圖片圖集










